Skip to main content
Emergency Dentistry
A healthy, beautiful smile starts here

Emergency Dentistry | Dentist
Improve your smile today – call to schedule a consultation!
Claim Now!

Our Emergency Services

Dental emergencies can happen anywhere, and often at the most inconvenient of times as well.

If you or a loved one is currently experiencing a severe injury or pain, please don’t hesitate to reach out to our team at Lakeland Family Dental.

We do our best to see emergency cases the very same day as your initial call, and our wide variety of available services can treat several issues, including broken teeth, toothaches, and even missing teeth. In the meantime, Dr. Eric Ruiz and Dr. Samantha Ruiz can provide valuable guidance for how to handle your situation until you’re able to reach us.

Here are some helpful tips for the most common dental emergencies we see:

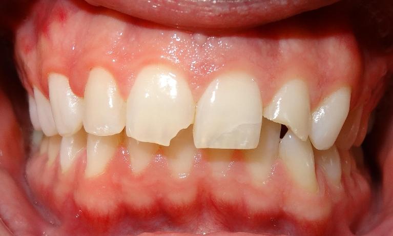
Broken Tooth

Rinse the affected tooth immediately with warm water. A cold compress should help alleviate any swelling as you travel to our office. Bring any pieces of the tooth that you can find with you to your appointment.

Knocked-Out Tooth

Try to find the tooth. If you can, rinse it carefully. You want to remove any debris from the tooth while keeping any bits of tissue attached.

Try to place the tooth in its socket and hold in place with very gentle pressure. You may wish to place a piece of gauze over the tooth to make it more comfortable.

If you can’t do this, place the tooth in a cup or plastic bag of milk and bring it with you to our office. Once you arrive, Dr. Ruiz and Dr. Sam can examine you and the tooth to see if replacement is possible. The faster we can see you, the better chance we have of saving your tooth.

Knocked-Out Crown

If you still have the crown, apply a small amount of toothpaste or dental wax to it and carefully reattach it to the appropriate tooth. This should work as a temporary fix until you’re able to reach our office.

Bad Toothache

First, rinse and floss around the tooth so that you can be sure there’s no debris that’s causing the pain. If pain persists, please contact us. Also, we strongly recommend that you don’t place an aspirin on the tooth as this might damage your gum tissue. Tooth pain is often the sign of an infection, which can be a serious problem if it is allowed to spread. Please don't take a "wait and see" approach to tooth pain.

Broken Jaw

Apply a cold compress and go immediately to the nearest emergency room for treatment. If you’ve suffered a lost or broken tooth due to your injury, contact us so that we can arrange for treatment as soon as possible.

Time is of the essence in many dental emergencies, which is why you should contact Lakeland Family Dental as soon as possible to schedule an appointment. Our skilled team will be sure to treat you with kindness, comfort, and personalized care while we work to give you back the whole, healthy smile you deserve.

Our office is located in Oconomowoc, WI, and we also welcome new patients from the nearby areas of Sussex, Pewaukee, Watertown, Hartland, Waukesha, Delafield, and beyond.

Meet Our Doctors:

Dr. Samantha Ruiz

Dr. Samantha Ruiz, also known as "Dr. Sam", knew she wanted to be a dentist from an early age. 

She grew up in Kenosha and, after graduating high school, attended Marquette University for nearly a decade. ...

Dr. Eric Ruiz

Dr. Eric Ruiz ("Dr. Ruiz"), received his BA in molecular and cellular biology from the University of Illinois at Urbana Champaign. He went on to obtain his DDS from the Marquette University School of Dentistry ...

Featured Blog Posts - Emergency Dentistry

August 15, 2024

What to Do in Case of Dental Emergency

Handling Dental Emergencies: Tips from Lakeland Family Dental

Accidents happen, and knowing how to handle a dental emergency can make all the difference between saving a tooth and losing one. A dental emergency involves an injury to your teeth or gums that requires immediate attention. Ignoring such injuries can lead to permanent damage. At Lakeland Family Dental, we emphasize the importance of immediate action in dental emergencies to protect your oral health.

What to Do in a Dental Emergency

When a dental emergency occurs, contact Lakeland Family Dental as soon as ...

May 1, 2024

I Chipped a Tooth! What Can I Do?

It often begins innocuously enough. You're enjoying your favorite hard candy when suddenly, you encounter a tough little piece in your mouth that refuses to dissolve. Upon inspection, you realize it's a small chipped fragment of a tooth.

Enamel may be one of the toughest substances in the body, but like everything else, it has its limits. Whether it's chewing on ice or grinding your teeth at night, there's always a risk of damaging your teeth. If you find yourself with a chipped tooth, there's no need to panic. Lakeland ...

Getting an appointment is fast and easy!
Get Started!