Lakeland Family Dental
A Great Dentist

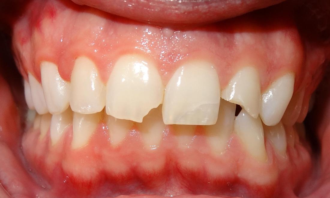
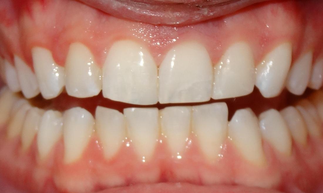
Trauma & tooth colored fillings

This patient suffered a traumatic injury, resulting in fracture of 2 of their front teeth. At a single visit, they were repaired using tooth colored filling material - no numbing was needed in this case!
Have Questions? Get in Touch
If you have difficulty using our website, please email us or call us at (262) 567-1323