Skip to main content
Traditional Crown & Bridge
A healthy, beautiful smile starts here

Traditional Crown & Bridge | Dentist
Improve your smile today – call to schedule a consultation!
Claim Now!

Traditional Crown & Bridge

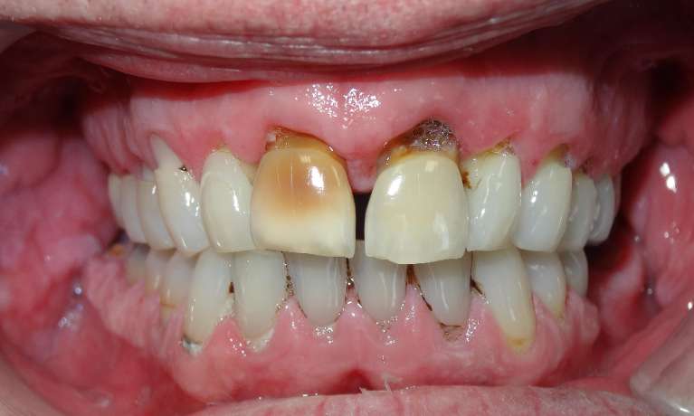
No one should have to struggle with teeth that are badly decayed, structurally injured, or even missing altogether.

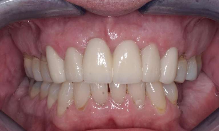
Instead, turn to Lakeland Family Dental in Oconomowoc for the supportive, experienced care you need. With the help of our crown and bridge services, Dr. Eric Ruiz and Dr. Samantha Ruiz can revitalize these areas with high-quality replacements that blend in seamlessly, giving you back a smile that’s full, strong, and beautiful.

Dental Crowns

Sometimes, the damage a tooth weathers can’t be fixed completely by a filling. Fortunately, dental crowns offer patients versatility by treating a wide variety of issues, including severe cavities, cracked enamel, and even purely cosmetic flaws.

A crown is a restoration that fits over the top of your natural tooth structure, all the way down to the gum, kind of like a hat fits on your head You might have also heard them referred to as "caps." To prepare your tooth for the crown, we will carefully shape the tooth, removing the damaged portions and leaving room for the new crown to fit over the top of the tooth

Using detailed bite impressions, Dr. Ruiz or Dr. Sam will work closely with a trusted dental lab to create the ideal crown for your smile.  Our crowns are made with advanced dental materials which are metal free for an improved aesthetic result, without having to compromise strength & longevity of the crown.  Your crown will be made of high-quality materials and painstakingly crafted - each and every one is completely custom made only for you!  Once it’s placed, it’ll be nearly impossible to distinguish it from the real thing!

Dental Bridges

If you’ve lost one or more teeth in a row, a dental bridge may be the optimal choice for restoring much-needed strength and esthetic value to your smile. Created from fused-together dental crowns, your new bridge will be positioned securely and comfortably within the open gap, and additional crowns will then be fitted over adjacent healthy teeth as anchors. The result will look and feel completely natural, giving you back the confidence you need to share your smile.

Repairing and Replacing Teeth

It's important to repair and replace damaged and missing teeth for a variety of reasons. Damaged teeth make it difficult for you to enjoy fresh, crunchy, nutritious food and can often cause pain and sensitivity.

Missing teeth often lead to further tooth loss. The neighboring teeth are likely to shift toward the open space, which knocks your teeth out of alignment and affecting the way your teeth come together (your occlusion). This can lead to a range of other problems, including excess wear, fracture, pain in your jaw joints, and sore muscles. 

You have a number of options when it comes to tooth repair and replacement. Call our office today to schedule your consultation so we can assess your health and discuss your needs and your goals with you. We'll create a customized treatment plan just for you that can help restore both the function and the appearance of your smile.

Here in Oconomowoc, WI, our dental team strives to provide comfort, experience, and excellence to patients of all ages. We look forward to helping you achieve your ideal smile! 

Contact Lakeland Family Dental today if you have any questions about our crown and bridge services or you’re ready to schedule your first appointment.

Frequently Asked Questions

When you receive a treatment plan, the services listed can be a little confusing. Dental crowns, fillings, bonding, sealants, and veneers all have a different purpose in dentistry. But how do you decide which is appropriate for each condition? Here is a little about the difference between fillings and crowns. If you still have questions, just give us a call!

What Is a Filling?

When you have decay in your tooth, it is important to remove it so that it doesn’t continue to eat away at your tooth. Eventually, when decay reaches the nerve, it will feel painful and may require a root canal.

Once we remove the decay, it leaves a cavity in your tooth, exposing it to infection, food particles, bacteria, and more decay. We need to fill it in! This is when we will recommend a filling. Fillings come in different sizes – one surface, two surfaces, three surfaces, and even different fillings on the same tooth. If decay compromises the actual strength of your tooth, we need to take a different approach. This is when we recommend a dental crown.

What Is a Dental Crown?

A crown completely covers your tooth. This is a restoration that we recommend when your tooth needs support and stability. Our dental crowns are designed individually for a good fit. By opting for a dental crown to support a tooth that has deep decay, a crack, fracture, or after a root canal, we can actually extend the life of your tooth.

Meet Our Doctors:

Dr. Samantha Ruiz

Dr. Samantha Ruiz, also known as "Dr. Sam", knew she wanted to be a dentist from an early age. 

She grew up in Kenosha and, after graduating high school, attended Marquette University for nearly a decade. ...

Dr. Eric Ruiz

Dr. Eric Ruiz ("Dr. Ruiz"), received his BA in molecular and cellular biology from the University of Illinois at Urbana Champaign. He went on to obtain his DDS from the Marquette University School of Dentistry ...

Featured Blog Posts - Traditional Crown & Bridge

April 1, 2024

How Long Does a Temporary Crown Last?

If you've recently undergone root canal therapy with Dr. Samantha Ruiz at Lakeland Family Dental, you may find yourself sporting a temporary crown over the treated tooth while awaiting the permanent one. While some patients are eager to complete the process swiftly, others may wonder just how long they can prolong their return for the necessary follow-up dental work.

June 15, 2022

What to Expect from Dental Bridges | Dentist in 53066

If you are missing one or more teeth, our 53066 dentist may recommend a dental bridge. To help you understand what to expect, we’ve assembled a short guide to bridges.

The Purpose of a Bridge

Getting an appointment is fast and easy!
Get Started!