Skip to main content
Lakeland Family Dental
A Great Dentist
Lakeland Family Dental
A Great Dentist
Schedule an Appointment
Like us on Facebook
Watch our Youtube Videos
Leave a Google Review
Instagram
(262) 567-1323
1300 N Summit Ave, Suite 101
Oconomowoc, Wisconsin 53066
Menu
Call
Book Now
Map
Home
About
Our Team
Technology
Office Tour
Services
View All
Sedation Dentistry
Silver Diamine Fluoride (SDF)
Invisalign
Dental Implants
KöR Teeth Whitening
Check-Ups & Cleanings
Tooth Colored Fillings
Traditional Crown & Bridge
Pediatric Dentistry
Periodontal (Gum) Disease Treatment
Root Canals & Extractions
Dentures & Partials
Preventive Dentistry
Emergency Dentistry
Patient Comfort
Oral Cancer Screenings
Cosmetic Dentistry
Smile Gallery
Reviews
Forms/Patient Portal
FAQs
View All
Other
Check-Ups & Cleanings
Traditional Crown & Bridge
Periodontal (Gum) Disease Treatment
Preventive Dentistry
Patient Comfort
Blog
ETC
Financial
Contact
Lakeland Family Dental
>
Smile Gallery
>
Bridge
Bridge
Return to Smile Gallery
Previous
Next
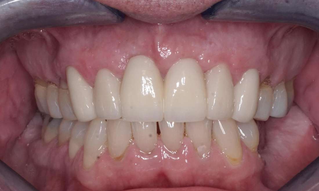
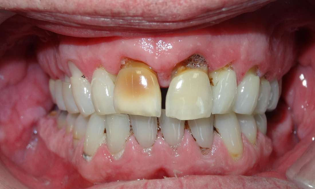
This patient need their 2 front teeth removed, and chose a bridge to replace them.
Related Services:
Cosmetic Dentistry
Traditional Crown & Bridge
Before
After
Ready to book an appointment?
Schedule Now
OK!
×
×
Contact Us Today
Give Us A Call
Lakeland Family Dental -
(262) 567-1323
Send Us an Email
Book Online
Contact Us
Ready to Schedule an Appointment?
Book Online
Have Questions? Contact Us:
Required Field
Your Name:
Phone:
Email:
Are you a new patient?:
Are you a?
New Patient
Current Patient
How would you like us to contact you?
Please choose
Email
Call
How did you hear about us?
Please choose
I'm an existing patient
Google/Bing
Mailer
Word of mouth
Social media
Other
Who Referred You?:
Appointment Preferences
Monday
Tuesday
Wednesday
Thursday
Friday
Your Message:
This site is protected by reCAPTCHA and the Google
Privacy Policy
and
Terms of Service
apply.
Sending...
×
This Patient's Experience
Loading Testimonial...
Loading Case...