Lakeland Family Dental
A Great Dentist

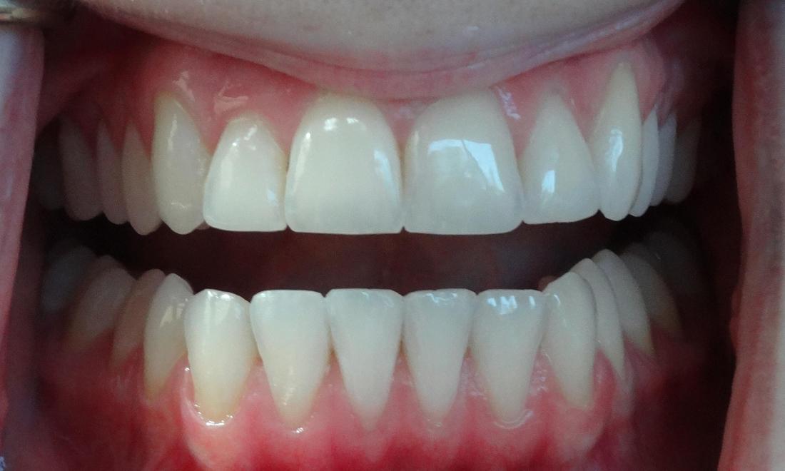
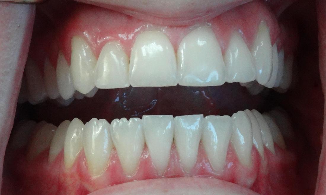
Cosmetic Bonding and Enamel Smoothing

This patient was unhappy with her uneven lower front teeth biting edges.  We placed a small filling in one tooth to fill in the notches on the biting edge - no anesthetic necessary!  All the lower front teeth were then contoured for a more pleasant smile.

Related Services:

Cosmetic Dentistry
Best Experience at a Dental Office

"My appointment with Dr. Sam was the best experience I've ever had at the dental office!" --TB

Ready to book an appointment?
If you have difficulty using our website, please email us or call us at (262) 567-1323
View the ADA Accessibility Statement