Lakeland Family Dental
A Great Dentist

Invisalign

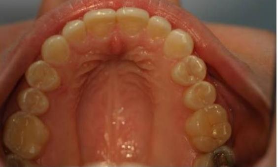
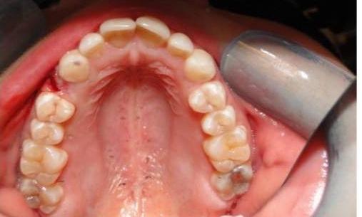
This adult patient had a baby tooth that never fell out, which stuck out like a sore thumb! We started by first removing the baby tooth, leaving the large gap seen in the "before" photo. With Invisalign, we were able to close this gap completely and also fix the mild crowding of their teeth.

Related Services:

Invisalign
Cosmetic Dentistry
Ready to book an appointment?
If you have difficulty using our website, please email us or call us at (262) 567-1323
Privacy Policy